ساخت انواع دندان مصنوعی
افزودن به پسندها 📞 شماره های تماس 09397000770
📞 اطلاعات تماس با آگهی دهنده
حسین اکبری (1)
✔️شماره های تماس :: 09397000770
توضیحات کامل آگهی
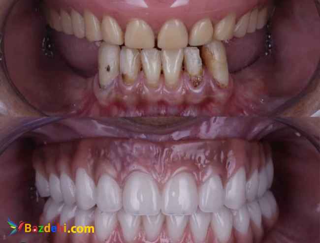
ساخت انواع دندان مصنوعی لابراتوار دندانسازی مروارید تلفن همراه : 09397000770 آدرس ایمیل : این آدرس ایمیل توسط spambots حفاظت می شود. برای دیدن شما نیاز به جاوا اسکریپت دارید اینستاگرام: https://www.instagram.com/p/CV0Lim8Il_2/?utm_medium=copy_link نام و نام خانوادگی حسن اکبری نام واحد تجاری لابراتوار دندانسازی مروارید استان تهران امکانات کارت خوان, مشاوره رایگان, طرف قرارداد بیمه آدرس : تهرانسر ساخت انواع دندان مصنوعی ساخت دندان مصنوعی از ۳،000،000تومان به بالا(قیمت بستگی به نوع دندان دارد ) تمامی مواد مصرفی وکیفیت کار ضمانت دارد. ساخت پلاک کروم کبالت بر اساس فک ساخت پروتز فلکسی (برای افراد حساس) ساخت پارسیل تیکه (برای افرادی که تعدادی دندان کشیده اند) پلاک کروم به صورت هر فک محاسبه میشود. پارسیل تیکه (بر اساس تعداد دندان) فلکسی هر فکی 1،500،000تومان نایت گارد هر فکی 200,000تومان قالبگیری در منزل برای بیمارانی که قادر به رفت وامد نیستند. در لابراتوار تمامی پروتکل ها رعایت میشود. انواع دندان مصنوعی تکه ای بهترین مارک دندان مصنوعی پروتز پارسیل فلکسی چیست پروتز پارسیل کروم کبالت پروتز لثه چیست دندان پارسیل ثابت دندان مصنوعی ارزان دندان مصنوعی ارزان تهرانسر دندان مصنوعی ارزان در تهران دندان مصنوعی اقساطی دندان مصنوعی برای افراد جوان دندان مصنوعی برای لثه صاف دندان مصنوعی تکه ای ژله ای دندان مصنوعی تکه ای فک بالا دندان مصنوعی تکی جلو دندان مصنوعی تکی چسبی نی نی سایت دندان مصنوعی ثابت بهتر است یا متحرک دندان مصنوعی جدید دندان مصنوعی چسبی چیست دندان مصنوعی فک بالا بدون سقف دندان مصنوعی فلکسی دندان مصنوعی کروم کبالت چیست ساخت دندان مصنوعی در منزل سفارش دندان مصنوعی عکس دندان کروم کبالت عکس دندان مصنوعی عوارض دندان مصنوعی تکه ای فیلم دندان مصنوعی ثابت قیمت بهترین دندان مصنوعی قیمت دندان فلکسی قیمت دندان کروم کبالت قیمت دندان مصنوعی تکه ای قیمت دندان مصنوعی ثابت قیمت دندان مصنوعی ثابت بر پایه ایمپلنت قیمت دندان مصنوعی ثابت در تهرانسر قیمت دندان مصنوعی ثابت سال 1400 قیمت دندان مصنوعی ژله ای در تهران قیمت دندان مصنوعی ژله ای در تهرانسر قیمت دندان مصنوعی فلکسی قیمت دندان مصنوعی یاماهاچی قیمت کاشت دندان مصنوعی تکی قیمت لثه نرم قیمت مولوپلاست کروم کبالت چیست کروم کبالت فک بالا کروم کبالت فک پایین لثه نرم پختنی لثه نرم دائمی لثه نرم دندان مصنوعی لثه نرم دندانسازی لثه نرم فوری لیست قیمت دندان مصنوعی لیست قیمت دندان مصنوعی ژله ای مزایا و معایب دندان متحرک هزینه دندان مصنوعی
آدرس آگهی :
A _ منطقه یک تهران, تهران, تهران
تهرانسر
تهرانسر
